Anatomie du genou

Les ligaments du genou : anatomie, rôle et mécanismes de rupture

Page revue le 8 décembre 2025 – Rédigée par le Dr J. E. Perraudin, chirurgien orthopédiste.

Qu'est-ce qu'un ligament ?

Un ligament est une bande de tissu conjonctif fibreux très solide, qui relie un os à un autre dans une articulation.

Dictionnaire Larousse

Le rôle des ligaments est de maintenir les deux os au contact l'un de l'autre, pendant les mouvements de l'articulation.

Qu'est-ce qu'une entorse ?

Une entorse est une lésion traumatique d'une articulation, résultant de sa torsion brutale, avec étirement (entorse bénigne ou « foulure ») ou rupture (entorse grave) d'un ou plusieurs ligaments.

Dictionnaire Larousse

L'entorse du genou pose deux problèmes :

Quels sont les ligaments du genou ?

Les deux ligaments croisés (antérieur et postérieur) et les deux ligaments collatéraux (interne et externe) maintiennent l'une contre l'autre l'extrémité inférieure du fémur et l'extrémité supérieure du tibia.

Ces ligaments s'attachent sur le fémur en haut et sur le tibia en bas.

Les deux ligaments croisés

Dessin des ligaments croisés du genou

Ils se situent au centre du genou où ils se croisent, d'où leur nom.

Le ligament croisé antérieur (LCA)

Il peut se rompre lors d'une prise d'appui du pied sur le sol avec pivot du corps pour changer de direction, ou lors d'une réception de saut.

Sa rupture est très fréquente et redoutée par les joueurs de sports à pivot (football, ski, handball, judo, basket...), car elle nécessite une opération et, surtout, une impossibilité de reprendre leur sport préféré avant de nombreux mois. Elle peut toucher tous les joueurs, qu'ils soient amateurs ou professionnels.

La rupture du ligament croisé antérieur

Comment faire le diagnostic de la rupture du ligament croisé antérieur

Le ligament croisé postérieur (LCP)

Sa rupture est beaucoup moins fréquente, souvent liée à un choc sur le tibia (accident du tableau de bord en voiture), ou plus rarement lors d'une réception de saut sur un genou en extension.

Rupture du ligament croisé postérieur

Les 2 ligaments collatéraux

Schéma des ligaments du genou

Ligament collatéral interne (LLI)

Le ligament interne doit résister si le genou reçoit un choc de l'extérieur (valgus forcé). Il est souvent partiellement déchiré et cette lésion peut être douloureuse et gêner la rééducation.

Rupture du ligament interne

Ligament collatéral externe (LLE)

L'atteinte du ligament externe du genou survient lors d'un mécanisme de varus forcé. Elle est rare mais grave : elle s'accompagne presque toujours d'une lésion d'un ou des ligaments croisés. Sa rupture nécessite toujours une opération.

Rupture du ligament externe

Mécanismes de rupture des ligaments

La rotation du genou sur lui-même

Schéma d'une torsion du genou

Un pivot risque d'entraîner une rupture du ligament croisé antérieur. C'est un accident fréquent au ski, au foot, hand, basket, volley, etc. Le pied est bloqué (ski) ou se bloque au sol sur une prise d'appui ; le corps tourne et le ligament croisé antérieur cède.

Le varus forcé

Entorse du genou par varus forcé

Un dessin est plus explicite... Choc sur l'intérieur du genou qui entraîne un varus forcé.

Ce mécanisme entraîne des lésions du ligament externe et du ligament croisé antérieur.

Le valgus forcé

Entorse du genou par valgus forcé

Le valgus forcé (choc sur l'intérieur du genou) entraîne une lésion du ligament collatéral interne, qui est rarement isolée et le plus souvent associée à une rupture d'un ligament croisé.

L'hyperextension du genou

Entorse du genou par hyperextension

Le genou part vers l'arrière, soit sur une mauvaise réception de saut, soit lors d'un choc antérieur sur un genou en extension.

Elle entraîne la rupture du ligament postérieur, souvent associée à une atteinte d'un ou plusieurs autres ligaments.

Le choc direct sur le tibia avec le genou fléchi

Le choc sur la face antérieure du tibia sur un genou fléchi peut provoquer une rupture isolée du ligament croisé postérieur, mais aussi une luxation de la hanche : c'est souvent lors d'un accident de voiture, dit du « tableau de bord ».

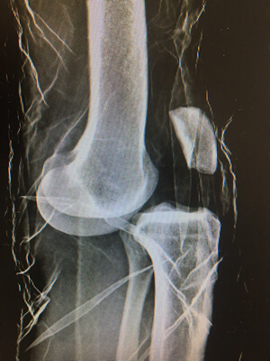
Luxation du genou

Une luxation est le déplacement des deux extrémités osseuses d'une articulation, entraînant une perte du contact normal des deux surfaces articulaires.

Dictionnaire Larousse

Très rare et grave, elle peut survenir lors d'un traumatisme violent avec rupture de plusieurs ligaments (au moins deux) du genou. C'est un accident grave qui peut laisser des séquelles car, aux lésions ligamentaires, s'ajoutent souvent des lésions méniscales, cartilagineuses, des lésions du tendon rotulien, et surtout des lésions vasculaires et/ou nerveuses qui peuvent mettre en danger la vitalité de la jambe.

Radio d'une luxation du genou

Comment fait-on le diagnostic des lésions ligamentaires ?

L'examen clinique du genou suffit souvent en retrouvant un mouvement anormal de l'articulation. Il doit être complété par une IRM.

Quel examen faire après une entorse ?

Après une torsion du genou, si le genou a craqué ou s'il a gonflé, il est important de faire une IRM, même si le testing est a priori rassurant.

Docteur J.E. Perraudin