Cartilage, chondropathie et arthrose du genou

Mise à jour le 26 décembre 2025

Rédigé par le docteur J.E. Perraudin,
Chirurgien orthopédiste

Cette page, écrite par le docteur Perraudin, se concentre sur l'évolution du cartilage avec le temps, de la chondropathie localisée à l'arthrose, en utilisant des images.

Les os sont reliés entre eux par des articulations.

Le cartilage recouvre l'os dans l'articulation, et le protège. Il permet aux deux os de glisser l'un sur l'autre de façon harmonieuse. Les ligaments maintiennent les deux extrémités osseuses l'une contre l'autre.

Son usure progressive entraine des modifications de surface, appelées "chondropathies". Ces chondropathies superficielles au début, vont s'accentuer avec le temps. Le cartilage disparait progressivement avec l'âge, pouvant donner de l'arthrose.

Chondropathie et arthrose

La chondropathie correspond à l'usure superficielle et localisée du cartilage. L'arthrose correspond à la disparition du cartilage sur les deux versants de l'articulation.

Le cartilage

Qu'est-ce que le cartilage ?

Le cartilage est un tissu résistant, mais élastique et souple, qui recouvre la surface de chaque os dans une articulation.

Son rôle est d'amortir les chocs, et de protéger l'os sous-jacent.

Le cartilage est-il vascularisé ?

Avasculaire, le cartilage est nourri par imbibition et diffusion des nutriments présents dans le liquide articulaire.

Le cartilage est-il innervé ?

Non, le cartilage n'est pas innervé (ni le ménisque d'ailleurs) ; il n'est donc pas responsable de douleurs.

Les douleurs ressenties sont liées à l'innervation de l'os situé sous le cartilage (appelé "os sous-chondral").

Le cartilage normal

Coupe anatomique montrant l’os et le cartilage
Regardez cette coupe d'une articulation : l'os est brun et le cartilage blanc. Les deux cartilages glissent l'un sur l'autre lors des mouvements de l'articulation.
Vue arthroscopique du genou: cartilages normaux
Cette vue sous arthroscopie vous montre un cartilage normal (16 ans...)

Le cartilage vu en IRM

Cette image arthroscopique, où l'on peut voir en haut la rotule et en bas le fémur, est l'équivalent de la radio (DFP), vue plus haut.

Sous arthroscopie, l'espace entre les deux cartilages est ici dû au liquide (sérum physiologique), dont l'articulation est remplie pour l'opération.

Arthroscopie : cartilage normal de la rotule
Dans la réalité (hors arthroscopie), la rotule prend appui et glisse sur le fémur, en permanence.

Sur cette coupe IRM, le fémur est en bas (la trochlée), la rotule est en haut. Les traits rouges délimitent le cartilage gris. Le blanc correspond au liquide synovial dans l'articulation. Le cartilage est normal car le liquide ne pénètre pas dedans.

IRM : cartilage normal de la rotule

Qu'est-ce que la chondropathie ?

La chondropathie est donc une modification, superficielle au début, du revêtement cartilagineux. Elle est localisée et passe par différents stades :

Les stades de chondropathie

La chondropathie est invisible sur une radio

Radio : défilé fémoro-patellaire normal, sans pincement
Sur cette radio de la rotule, l'interligne (trait rouge) est d'épaisseur normale : il n'y a pas d'arthrose.

Images de chondropathies en IRM et arthroscanner

Pour voir les chondropathies, anomalies localisées du cartilage, l'IRM est en général largement suffisante. Parfois est réalisé un arthroscanner si l'IRM n'est pas disponible ou pour affiner un résultat d'IRM.

Chondropathie rotulienne sur IRM
Coupe IRM où le cartilage de la rotule est plus mince (flèche jaune)
IRM : fissure du cartilage de la rotule
Coupe d'un Arthro-scanner : fine fissure du cartilage

Ces chondropathies vont évoluer et s'aggraver avec le temps, mais chondropathies ne veut pas dire douleur !

Chondropathies sous arthroscopie

Arthroscopie : chondropathie stade 2 du condyle
Le cartilage n'est pas lisse en haut, sur la rotule : c'est une chondropathie superficielle.

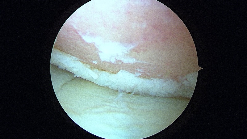
Sur cette autre image arthroscopique, voici une chondropathie stade 4 très localisée sur le fémur, découverte lors d'une arthroscopie pour une reconstruction du ligament croisé antérieur. L'os est à nu.

Arthroscopie : chondropathie très localisée, stade 4 du condyle
Vous pouvez noter que le cartilage tibial en dessous est pratiquement normal.

Image arthroscopique d'une chondropathie stade IV du cartilage fémoral; le cartilage tibial est encore presque normal.

Image arthroscopique d'une chondropathie stade IV du cartilage fémoral

Chondropathie ne signifie pas douleur

Les chondropathies sont fréquentes, banales, surtout après 40-50 ans. Tout le monde en a, mais tout le monde n'a pas mal au genou !

Les douleurs rotuliennes de l'adolescent sont liées au cartilage de la rotule (syndrome rotulien), mais l'IRM est normale à cet âge.

Une IRM réalisée à 60 ans montrera très souvent des chondropathies évoluées, anciennes, alors que le genou ne sera douloureux que depuis quelques jours.

En pratique, il n'y a pas de parallèlisme entre les douleurs du genou et les chondropathies. Les douleurs peuvent s'améliorer, les chondropathies resteront.

Facteurs favorisant l'apparition de douleurs sur chondropathies

Les changements de rythme dans l'activité ou dans l'entrainement, les changements d'intensité, la modification du matériel utilisé (changement de chaussures), un choc sur le genou, ou une entorse peuvent déclencher une crise douloureuse.

Evolution des chondropathies avec le temps

L'évolution des chondropathies est très lente, très variable suivant les individus, la forme de leurs membres inférieurs (en X ou arquées), les sports pratiqués, leur poids, les accidents...

Elle peut apparaître très tôt dans la vie, sans pour autant être responsable de douleurs.

Peut-on prévenir l'aggravation des chondropathies ?

Maigrir, ou ne pas grossir, est important

La perte de quelques kilos en préférant une alimentation plus équilibrée, peut être très bénéfique. Se faire aider par un(e) diététicien(ne) parait être une excellente idée.

Eviter l'ablation inutile d'une partie du ménisque

Amputation de la pointe du ménisque qui suggère la possibilité d'une languette
Amputation de la pointe du ménisque qui suggère la possibilité d'une languette
Languette méniscale vue sous arthroscopie
Vue arthroscopique d'une languette méniscale

Cette opération, souvent très utile, ne doit être réalisée que s'il existe une languette mobile (IRM), et si tous les symptomes sont cohérents avec ce diagnostic. Une suture du fragment doit toujours être envisagée chez les jeunes.

Mais l'ablation (souvent inutile !) d'une fissure méniscale dégénérative aggrave l'usure du cartilage.

IRM montrant une fissure dégénérative stable sans languette du ménisque interne
IRM avec le triangle méniscal entouré de jaune avec la petite fissure gris clair

L'instabilité sur rupture du ligament croisé antérieur non opérée

L'opération du ligament est indispensable chez les jeunes pour éviter la répétition des incidents d'instabilité et l'évolution vers l'arthrose précoce; elle est nécessaire quel que soit l'âge, si le genou devient instable.

Existe-t'il un traitement spécifique de ces chondropathies ?

Autrefois, aux débuts de l'arthroscopie, on avait cru que régulariser la surface cartilagineuse, permettrait d'améliorer les douleurs du patient ou les sensations de blocage. Il n'en est rien la plupart du temps.

La responsabilité des chondropathies

Il faut d'abord confirmer la responsabilité des chondropathies dans les douleurs ressenties par le patient, ce qui est loin d'être souvent le cas. Devant un genou douloureux, l'IRM est le plus souvent réalisée pour rechercher, ou éliminer, une languette mobile d'un ménisque.

Le traitement est d'abord médical

Il s'agit de traiter les douleurs ressenties et d'apprendre à gérer son genou.

La perte de poids, si besoin, est un outil important de ce traitement médical.

Cas particulier des blocages

Devant un blocage douloureux du genou en flexion (avec impossibilité de tendre la jambe à cause de la douleur), il peut arriver qu'on "suspecte" sur l'IRM, la responsabilité mécanique d'un fragment cartilagineux.

Ici encore, le traitement médical des douleurs, et d'éventuelles infiltrations, permettent le plus souvent de traiter le blocage, et de laisser passer l'orage : ce qui montre bien, a postériori, l'absence de responsabilité mécanique de la lésion.

Devant un blocage du genou, l'IRM est réalisée pour rechercher une cause mécanique de blocage.

Les lésions profondes localisées

Pour une information plus complète, je cite ces interventions mais leur indication reste très rare.

Ce sont les stades 4 localisés comme sur l'image. Ici, il est "possible d'envisager" de faire une greffe de cartilage. Il s'agit de prélever une "carotte" d'os et de cartilage dans une zone saine du genou du patient ; un trou est foré au niveau de la zone usée et la carotte prélevée est insérée en force dans le trou. Ce geste relativement simple, n'a pas donné les résultats escomptés pour de multiples raisons. Mais il reste utile pour des genoux très abimés, chez un jeune dans les suites d'un accident par exemple.

Usure localisée au compartiment interne du genou

Si le genou est invalidant et les chondropathies sont stade IV, localisées sur la partie interne d'un genou en varus (jambe arquée), il est possible de réaliser une ostéotomie de valgisation pour ré-axer le membre, et ainsi transférer le poids sur le compartiment sain (ici externe).

L'évolution vers l'arthrose

Beaucoup plus tard dans la vie, les chondropathies peuvent s'étendre et évoluer vers l'arthrose.

Le diagnostic d'arthrose repose sur la présence d'un pincement de l'interligne sur la radio debout, "en charge", et en "schuss".

Radio normale

Cette radio du genou droit, de face, en charge (le patient est debout), montre un interligne articulaire d'épaisseur normale.

Radio : genou normal, interligne conservé
On peut noter que l'épaisseur est moindre à droite sur la radio : ce patient appuie plus sur ce côté, interne, lorsqu'il est debout. C'est la conséquence de la forme de ses jambes (ici, arquées, en varus).

Autres pages

Questions fréquentes

Comment établir le lien entre le pincement sur la radio et mes douleurs ?

Le lien sera recherché par le médecin en vous écoutant et en vous examinant. Une IRM pourra être utile pour éliminer une autre cause.

Le pincement visible sur une radio correspond à la disparition du cartilage, donc à une arthrose. En revanche, il n’existe pas de parallélisme direct entre l’importance du pincement et la douleur. Un pincement important du compartiment interne peut être indolore et les douleurs reliées au cartilage de la rotule, pourtant moins usé.

→ Comprendre le lien entre imagerie et douleur
Peut-on prévenir l’arthrose ?

Il est possible de prévenir ou ralentir l’aggravation des lésions cartilagineuses. La perte de poids, l’adaptation des activités, l’évitement de gestes inutiles comme l’ablation excessive du ménisque, et le traitement d’une instabilité du genou sont des éléments essentiels. Ces mesures permettent de limiter l’évolution vers l’arthrose.

→ Mesures pour limiter l’aggravation
Quels sont les symptômes d’une crise d’arthrose ?

Une poussée douloureuse peut survenir à l’occasion d’un changement de rythme d’activité, d’un effort inhabituel, d’un choc ou d’une entorse. Douleurs, gonflement et boiterie apparaîssent parfois brutalement alors que les lésions cartilagineuses sont anciennes. La crise ne reflète pas nécessairement une aggravation rapide de l’usure.

→ Facteurs déclenchant les douleurs
Quel est le traitement médical de l’arthrose ?

Le traitement est d’abord médical et fonctionnel. Il vise à soulager la douleur, apprendre à gérer son genou et adapter les activités. La perte de poids, si nécessaire, fait partie intégrante du traitement. Les gestes chirurgicaux (greffe) sur le cartilage sont très rarement indiqués.

→ Traitements proposés
Qu’est-ce que l’arthrose externe du genou (jambes en X) ?

L’arthrose peut être localisée préférentiellement sur un compartiment du genou. Dans le cas des jambes en X, la surcharge porte sur le compartiment externe. L’évolution est lente et dépend de nombreux facteurs comme la morphologie, le poids, les activités pratiquées et les antécédents traumatiques.

→ Arthrose externe du genou
Qu’est-ce que l’arthrose interne du genou (jambes arquées) ?

Chez les personnes aux jambes arquées, l’appui se fait davantage sur le compartiment interne du genou → Arthrose interne du genou . Cette surcharge favorise une usure localisée du cartilage. Dans certains cas, chez les jeunes (40-50 ans), une correction de l’axe du membre peut être envisagée par une ostéotomie.

Qu’est-ce que l’arthrose fémoro-patellaire (arthrose rotulienne) ?

L’arthrose peut toucher l’articulation entre la rotule et le fémur. Le cartilage rotulien s’use progressivement, souvent sans lien direct avec l’intensité des douleurs. Cette arthrose est souvent longtemps bien tolérée avec le traitement médical et une bonne gestion du genou. → Arthrose fémoro-patellaire

Docteur J.E. Perraudin