Définition de l'arthrose ?
Son diagnostic se fait devant le pincement d'un interligne articulaire, sur une radio en charge, en position debout.

L'arthrose est la maladie articulaire la plus fréquente; elle peut toucher une ou plusieurs articulations (dos, hanche, genou, épaule, pieds, doigts...).
Qu'est-ce que la chondropathie ?
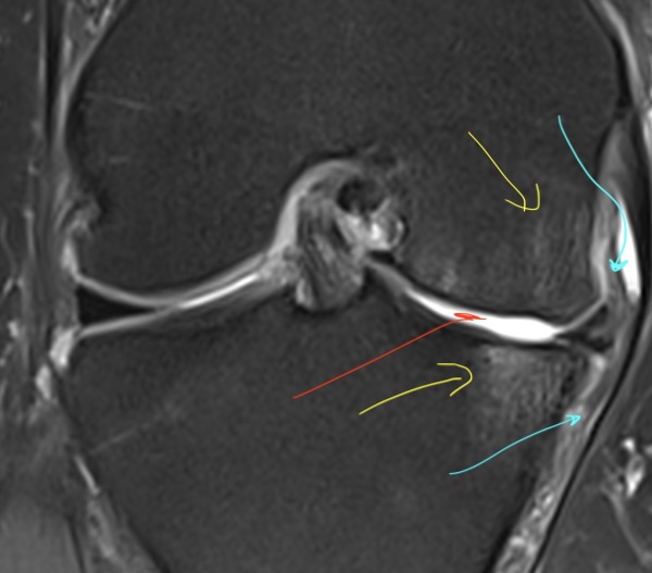
L'usure commence doucement par de petites lésions superficielles du cartilage, appelées chondropathies. Leur diagnostic se fait sur une IRM ou un arthroscanner.
Quand les lésions progressent, les os se retrouvent en contact direct, ce qui rend les mouvements articulaires difficiles et douloureux.
Les premiers signes de l'arthrose
Les premiers signes, ou symptômes, (douleurs et/ou gonflement) apparaissent souvent après un changement de rythme dans l'activité physique : la "goutte d'eau qui fait déborder le vase". Une marche plus longue que les autres; la répétition inhabituelle (3 au lieu de 2 par semaine); la montée et/ou la descente des escaliers peuvent aussi réveiller des douleurs (ascenceur en panne), etc.
Le gonflement est fréquent, lié à l'épanchement de synovie.
Apprendre à gérer votre genou, à en prendre soin, est l'un des buts de ce site. Diminuer les symptomes est le seul traitement de l'arthrose. La recherche est en cours sur un traitement de fond.
Rappelons l'intérêt de perdre quelques kilos ou plus; 1 kg de pris rajoute environ 5 kgs sur le genou.
L'évolution de l'arthrose
Elle évolue par crises, souvent déclenchées par un changement de rythme, un prise de poids, le port de charges lourdes, un déménagement... La crise associe douleurs et/ou gonflement de l'articulation. A long terme, enraidissement et déformation de l'articulation vont aggraver l'inconfort.
Son traitement est d'abord celui des symptomes (douleurs, gonflement,...). L'indication d'une prothèse se pose après une longue évolution, lorsque ce traitement devient insuffisant.
Faut-il consulter ? Qui consulter ?
Le rhumatologue est le bon médecin pour vous suivre. Les outils pour améliorer les symptomes sont nombreux.
L'avis d'un chirurgien orthopédiste devient logique :
- Si vos symptomes ne s'améliorent plus avec le traitement médical,
- Si votre périmètre de marche diminue,
- Si votre inconfort augmente,
- Si le genou se déforme,
- Si le genou s'enraidit,si vous perdez de la flexion.
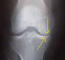
Le Diagnostic de l'arthrose repose sur la RADIO
L'arthrose s'apprécie sur une radio du genou, en position debout (en charge), les genoux légèrement pliés (en position de schuss). La radio permet de mesurer l'espace entre les deux os. Cet espace, l'interligne, correspond à l'épaisseur de cartilage.
Lorsque l'espace entre les deux os, l'interligne articulaire, est moins épais d'un côté du genou par rapport à l'autre, lorsqu'il est "pincé", on parle d'arthrose qui peut être débutante, modérée ou évoluée, en fonction de l'importance du pincement.
Notez que les douleurs peuvent ne pas provenir du compartiment usé. Par exemple, les douleurs peuvent être ressenties devant le genou, antérieures, rotuliennes, tandis que l'arthrose radiologique touche un autre compartiment, interne ou externe.
Comment établir le lien entre vos douleurs et le pincement sur la radio ?
En pratique, est-ce que ce pincement est responsable de vos douleurs ? C'est ici qu'interviennent médecin et chirurgien !
Il est possible d'avoir une arthrose radiologique (pincement de l'interligne) et de n'avoir aucun symptôme. Il est d'ailleurs fréquent que les deux genoux soient usés sur la radio, mais qu'un seul soit douloureux.
On peut aussi avoir un genou arthrosique (radio) et avoir des crises de temps à autres, mais aussi de longues périodes où le genou n'est pas gènant.
A l'inverse, certaines personnes avec un petit pincement localisé, souffrent beaucoup.
L'arthrose peut toucher les trois compartiments du genou

Au niveau du genou, les trois compartiments de l'articulation peuvent être touchés : interne, externe ou fémoro-patellaire (entre fémur et rotule).
L'atteinte est souvent partielle au début, et ne touche qu'un seul compartiment (interne, externe ou fémoro-patellaire). Elle peut ensuite toucher un autre compartiment.
Les causes de l'arthrose.
L'âge bien sûr, le poids +++, l'axe des jambes avec un aspect très marqué en varus (jambes arquées) ou en valgus (jambes en X), les antécédents sportifs ( avec ou sans accident), le niveau sportif dans la jeunesse, les antécédents d'accident (entorse, rupture du ligament croisé antérieur, fracture du plateau tibial), un antécédent de meniscectomie, etc.
Insistons surtout sur le poids, facteur majeur et sur lequel le patient peut être actif : un kilo de poids en moins entraîne 4 à 5 kg de moins sur le genou...
J'ai détaillé les moyens de prévention d'une aggravation des chondropathies dans une autre page.
Peut-on prévenir ou éviter l'arthrose ?
Pas de produit miracle !
Aucun produit sur le marché, aucun médicament, aucun complément alimentaire n'existe actuellement pour empêcher le cartilage de s'user. Des produits peuvent vous aider à améliorer les symptômes de l'arthrose, mais on ne peut pas vous dire qu'ils préviennent, limitent ou traitent l'usure du cartilage.
Heureusement, pour l'avenir, on peut imaginer que la recherche sur ce sujet est très développée, grâce à l'enjeu commercial.
Maigrir, ou au moins, ne pas grossir
On dit que la prise d'un kg de poids apporte une surcharge de 5kg sur le genou. Perdre quelques kg permet souvent d'améliorer les symptomes.
Maigrir permet aussi de diminuer l'usure du cartilage du genou.
La chirurgie peut-elle prévenir l'aggravation de l'arthrose ?
Nous avons vu que des jambes très arquées peuvent être une cause logique d'arthrose interne, comme sur la radio (genou droit vu de face).

Il est possible, chirurgicalement, de modifier l'axe du membre inférieur : l'idée est de modifier un petit peu l'axe dans l'autre sens : en passant par exemple, d'un varus à un petit valgus, pour soulager le compartiment interne usé, en appuyant plutôt sur le compartiment sain, externe. Cette opération ne concerne que les jeunes adultes autour de 40-50 ans.
L'ostéotomie consiste à couper un des deux os tibia ou fémur pour modifier l'angulation de la jambe, favorisant ainsi l'appui sur l'autre cöté (sain) du genou.
Peut aussi se discuter une prothèse partielle : usure isolée d'un compartiment (interne ou externe) sur un genou stable et encore très mobile.

Quels sont les symptomes de l'arthrose ?
Douleurs
Traiter les douleurs est important pour permettre de continuer ses activités. Ne pas prendre de médicaments pour les douleurs pousse à diminuer rapidement son périmètre de marche, et la fonction du genou. Vous pouvez vous informer sur tous ces symptomes de la crise d'arthrose, et les moyens de les améliorer.
Gonflement
Le gonflement est fréquent lors des crises d'arthrose. Mais le gonflement n'est pas forcément responsable des douleurs associées.
Glacer le genou est confortable.
Faut-il ponctionner ?
La ponction simple du genou pour enlever le liquide, est presque inutile, car elle n'empêche pas le genou de regonfler quelques jours après. De plus, répéter les ponctions présente un risque infectieux.
Ponctionner avant de faire une infiltration
Si le médecin doit faire une infiltration ou une viscosupplementation, il est logique de vider un peu le genou pour que le liquide injecté ne soit pas trop dilué.
Boiterie
Les douleurs poussent à boiter. On a l'impression de protéger le genou en évitant l'appui; c'est une position antalgique légitime. Mais marcher le genou plié :
- Vous fait perdre votre quadriceps
- Aggrave vos douleurs
Evolution clinique de l'arthrose
Poussées douloureuses
Après une crise articulaire inauguratrice, les crises risquent d'apparaître en fonction des changements de rythme (prise de poids, déménagement, essai de reprise de l'activité sportive, ..). La météo peut jouer un rôle (humidité + froid). L'intervalle entre les crises peut être très long au début.
Avec la répétition des poussées, l'articulation peut s'enraidir avec diminution de la flexion, puis perte de l'extension complète (le flessum).
+++++++++++++++Raideur du genou
La mobilité risque de se dégrader petit à petit. Si le talon-fesse a disparu depuis longtemps, la flexion reste longtemps au dessus de 90° (angle droit).
La perte de l'extension complète est progressive. Je passe la main sous mon genou lorsque ma jambe est allongée sur le lit. Cela s'appelle un flessum. De petits exercices simples chaque jour, permettent d'entretenir flexion et extension.
Perte de flexion
Progressivement, le genou perd de la flexion. Il est important de noter que la flexion ne sera que peu améliorée par l'opération, si le genou est enraidi depuis longtemps. C'est donc un des facteurs qui poussent à se faire opérer.
Perte de l'extension
Plus tardivement, le genou perd son extension. La marche ne peut se faire que le genou plié, en flessum.
Ce flessum devrait être amélioré mécaniquement par la pose de la prothèse totale, mais nécessitera un engagement dans les exercices d'auto-rééducation pour s'obliger à marcher la jambe tendue après l'opération.
Cette auto-rééducation est un très bon outil pour gérer le genou arthrosique non opéré.
Déformation de l'articulation
La déformation de l'articulation est très lente. Le varus ou le valgus initial va augmenter petit à petit. Cette déformation n'est pas forcément gènante (en dehors de l'esthétique), si le genou garde sa mobilité. Un varus important est beaucoup mieux toléré qu'un valgus équivalent.
Elle entraine l'usure prédominante du compartiment en charge (interne pour le varus et externe pour le valgus). L'usure augmente la déformation et la pression sur le compartiment concerné.
La déformation en valgus avec une déformation en X, est beaucoup moins bien tolérée que la déformation en varus.
La vitesse d'évolution est imprévisible.
Diminution progressive du périmètre de marche
Le périmètre de marche est la distance (ou la durée) que vous pouvez marcher confortablement : Le périmètre de marche "acceptable" sera de quelques km pour un joueur de golf, tandis que 30mn suffiront pour une personne plus agée. .
C'est un des critères principaux qui poussera à se faire opérer, pour améliorer sa qualité de vie
Ici aussi, mieux vaut prendre des médicaments pour traiter ses douleurs, et continuer à s'entrainer à marcher avec deux batons, pour garder une bonne forme physique, et un genou fonctionnel.
++++++++++++++Images radiologiques de l'arthrose
Au début, l'arthrose est le plus souvent partielle, "uni-compartimentale".
Arthrose fémoro-tibiale Interne

Arthrose débutante : petit pincement de l'interligne
Arthrose évoluée : pincement complet de l'interligne

Arthrose fémoro-tibiale Externe

Petit pincement fémoro-tibial externe
Pincement complet fémoro-tibial externe

Arthrose fémoro-patellaire ou rotulienne

Dessin sur radio montrant le contact des deux os dans cette arthrose rotulienne

Arthrose évoluée fémoro-patellaire, rotulienne, externe
Le traitement médical de l'arthrose
Il n'y a pas de traitement spécifique de l'arthrose : il s'agit de traiter les manifestations de l'arthrose, c'est-à-dire les symptomes. Vous êtes pris en charge en général par votre médecin traitant et votre rhumatologue.
Pendant la crise
Il s'agit d'abord de traiter les symptomes (douleurs, gonflement, raideur) en associant le traitement de la douleur et des exercices pour maintenir la mobilité et la force de son quadriceps.
Une canne, une genouillère peuvent être aidants. Il vaut mieux sortir faire quelques pas avec sa canne et une genouillère que de ne pas bouger.
Des infiltrations peuvent bien sûr être essayées avec un rhumatologue.
Visitez les pages sur les symptomes et leur traitement. Vous y trouverez quelques idées et beaucoup d'infos pratiques.
Après la crise
Rechercher le déclencheur de la crise
Il est intéressant de noter ce qui a déclenché la crise précédente; c'est souvent évident mais ce peut être un petit quelque chose d'inhabituel, la goutte d'eau qui a fait déborder le vase. Repèrez-le; cela vous aidera à mieux gérer la suite.
Reprendre petit à petit une activité
Le petit bain de la piscine est un bon endroit pour faire quelques exercices pour sortir d'une crise.
La reprise progressive de la marche, de la natation ou du vélo sont très utiles pour retrouver une forme physique.
L'utilisation de cannes, de batons (décathlon) aidera à passer les crises et à reprendre une activité.
Les activités d'avant la crise
Le retour aux activités pratiquées 'avant' la crise devra être réfléchie, et très progressive.
Quelques outils
Talonnettes
L'utilisation de chaussures amortissantes (qui existent sur le marché) ou de talonnettes visco-élastiques en sorbothane (vendues en pharmacie), amélioreront votre confort en jouant le rôle d'amortisseur. Notez que c'est aussi très aidant pour le mal de dos...

Semelles orthopédiques
A glisser dans vos chaussures de ville ou de marche : elles seront réalisées par un podologue sur prescription par vos médecins.
Une genouillère rotulienne
Une genouillère en coton élastique avec une zone de renfort autour de la rotule, est souvent +++ une aide appréciable : essayez.
Notez que c'est souvent plus simple de trouver sa taille dans un magasin de sport avec la possibilité de la changer.
Les exosquelettes
Il existe des genouillères spéciales de décharge (exo-squelette) pour soulager les douleurs d'arthrose uni-compartimentale interne ou externe; leur prix est élevé, mais elles peuvent vous permettre de reprendre une activité sportive que vous aimez (ski, rando, etc.). Renseignez vous en pharmacie ou chez les fabriquants.
Se faire suivre par son rhumatologue
Il est logique d'être suivi par un rhumatologue qui pourra vous proposer des injections intra-articulaires de corticoides (pour la crise douloureuse), d'acide hyaluronique ou de PRP.
Que penser des compléments alimentaires, crèmes de massage,... ?
Il est très difficile de faire une étude sérieuse sur l'intéret de tel ou tel produit, tellement l'arthrose et ses symptomes sont multi-factoriels. Il en va de l'alimentation comme des compléments alimentaires (chondroitine sulfate et les autres), l'homéopathie, les huiles essentielles, pommades, etc...
Ceci dit, vous rencontrerez des proches qui ont essayé tel ou tel produit qui leur a fait du bien : pourquoi ne pas l'essayer ? L'expérience des proches peut s'avérer très utile, même si on ne peut généraliser à partir de quelques cas. Attention à la publicité : quand un produit fonctionnera, le "monde" sera très vite au courant.
De petits exercices répétés plusieurs dizaines de fois par jour améliorent les douleurs et la fonction du genou arthrosique.
Arrive un jour où la situation est trop handicapante pour continuer avec le seul traitement médical et l'intervention (pose d'une prothèse) apparaît nécessaire au patient (à la patiente).
Traitement chirurgical : la prothèse du genou
Plus de 50 000 prothèses du genou sont posées chaque année en France. Les résultats sont très motivants.
Les progrès réalisés sur les techniques de pose de la prothèse, sur la prévention et la gestion des douleurs post-opératoires, rendent cette opération beaucoup plus acceptable et efficace.
Faut-il se faire opérer ?
La question ne se pose que si l'usure radiologique est importante bien sûr, mais il faut aussi que les douleurs restent trop importantes, handicapantes malgré le traitement médical. Quels sont les arguments, pour et contre, se faire opérer d'une prothèse de genou ?
L'avis du chirurgien
Votre médecin ou votre rhumatologue vous ont conseillé de prendre un avis, ou vous aviez besoin d'un autre avis. Voir la page sur comment se passe la consultation du chirurgien.
Vous informer
Vous trouverez beaucoup d'informations sur les pages de ce site, sur la prothèse totale du genou :
- Qu'est-ce qu'une prothèse ?
- Quel matériau ?
- Quelle durée de vie ?
- Comment se passe l'opération ?
- Quelles sont ses suites ?
- Quels en sont les risques ?
Quelle prothèse ?
La prothèse est le plus souvent "totale"
Parfois, on peut discuter la pose d'une petite prothèse (prothèse unicompartimentale, ou partielle), qui permet de ne remplacer que le seul compartiment usé du genou.
Vous pouvez être intéressé par ces pages :
Douleur, gonflement, que faire ?
Auto-rééducation guidée
La Prothèse de genou