Les os sont reliés entre eux par des articulations.
Le cartilage recouvre l'os dans l'articulation, et le protège. Il permet aux deux os de glisser l'un sur l'autre de façon harmonieuse. Les ligaments maintiennent les deux extrémités osseuses l'une contre l'autre.
Son usure progressive entraine des modifications de surface, appelées "chondropathies". Ces chondropathies superficielles au début, vont s'accentuer avec le temps. Le cartilage disparait progressivement avec l'âge, pouvant donner de l'arthrose.
Chondropathie et arthrose
La chondropathie correspond à l'usure superficielle et localisée du cartilage. L'arthrose correspond à la disparition du cartilage.
Le cartilage
Qu'est-ce que le cartilage ?
Le cartilage est un tissu résistant, mais élastique et souple, qui recouvre la surface de chaque os dans une articulation.
Son rôle est d'amortir les chocs, et de protéger l'os sous-jacent.
Le cartilage est-il vascularisé ?
Avasculaire, le cartilage est nourri par imbibition et diffusion des nutriments présents dans le liquide articulaire.
Le cartilage est-il innervé ?
Non, le cartilage n'est pas innervé (ni le ménisque d'ailleurs); il n'est donc pas responsable de douleurs.
Les douleurs ressenties sont liées à l'innervation de l'os situé sous le cartilage (appelé "os sous-chondral".
Vue du cartilage normal sous arthroscopie
Pour mieux comprendre, regardez cette coupe d'une articulation : l'os est brun et le cartilage blanc. Les deux cartilages glissent l'un sur l'autre lors des mouvements de l'articulation.

Cette photo est prise lors d'une arthroscopie réalisée pour reconstruire un ligament croisé : un tunnel a été créé dans l'os. On peut voir l'os qui borde le tunnel, et le cartilage normal qui le recouvre.

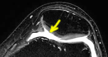
Le cartilage vu en IRM.
Ici le cartilage est normal en arthroscopie et sur l'IRM.


Qu'est-ce que la chondropathie ?
La chondropathie est donc une modification, superficielle au début, du revêtement cartilagineux. Elle est localisée et passe par différents stades :
Les stades de chondropathie
- Un peu mou au début (chondromalacie, stade 1),
- Apparition de fissures : chondropathie ouverte stade 2, superficielle, fibrillaire, pelucheuse, velvétique...
- Aspect chevelu, en chair de crabe, ou en clapet (stade 3)
- Puis l'os apparait, dénudé (stade 4)
La chondropathie est invisible sur une radio
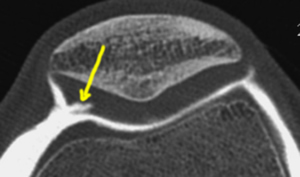
Sur cette radio de la rotule (Défilé fémoro-patellaire, DFP), le trait jaune montre l'espace (que l'on nomme "interligne"), entre le fémur en bas et la rotule en haut; l'interligne est d'épaisseur normale: il n'y a pas d'arthrose.
La radio ne montre pas les chondropathies sauf au stade de l'arthrose.
,
La chondropathie peut s'étendre progressivement avec le temps, sur chacun des côtés de l'articulation, entraînant la disparition du cartilage, appelée arthrose. L'arthrose est visible sur une radio par la diminution de l'espace entre les deux os : le pincement de l'interligne.
Images de chondropathies en IRM
Les chondropathies sont découvertes par le radiologue sur une IRM.


L'arthroscanner est un examen plus précis, qui n'a pas d'intéret, sauf dans les très rares cas, où se discute un indication opératoire. Par exemple, pour vérifier l'état cartilagineux de l'autre compartiment, avant une osteotomie de valgisation.
Images de chondropathies sous arthroscopie
Radiographie du genou avec l'incidence fémoro-patellaire (DFP) visualisant l'épaisseur de cartilage entre les deux os (trait jaune)
Cette image arthroscopique, où l'on peut voir en haut la rotule et en bas le fémur, est l'équivalent de la radio (Défilé fémoro-patellaire, DFP), vue plus haut.
Sous arthroscopie, l'espace entre les deux cartilages est ici dû au liquide (sérum physiologique), dont l'articulation est remplie pour l'opération.
Dans la réalité (hors arthroscopie), la rotule prend appui et glisse sur le fémur, en permanence.

Sur l'image ci-dessus, vous pouvez voir que le cartilage n'est pas lisse en haut, sur la rotule : c'est la chondropathie. Ces petits filaments sont très fins et souples; ils ne gènent pas le glissement des cartilages l'un sur l'autre. De plus, cet image chevelue ne signifie pas que le patient est douloureux, ni que cette chondropathie soit à l'origine des douleurs.


Sur cette autre image arthroscopique , voici une chondropathie stade 4 très localisée sur le fémur, découverte lors d'une arthroscopie pour une reconstruction du ligament croisé antérieur. Vous noterez que le cartilage tibial en dessous est pratiquement normal. Le patient ne ressentait aucune douleur en rapport avec cette lésion, au moment de l'opération du ligament.

Chondropathie ne signifie pas douleur
Les chondropathies sont fréquentes, banales, surtout après 40-50 ans. Tout le monde en a, mais tout le monde n'a pas mal au genou !
Les douleurs rotuliennes de l'adolescent sont liées au cartilage de la rotule (syndrome rotulien), mais l'IRM est souvent normale à cet âge.
Une IRM réalisée à 60 ans montrera très souvent des chondropathies évoluées, anciennes, alors que le genou ne sera douloureux que depuis quelques jours.
En pratique, il n'y a pas de parallèlisme entre les douleurs du genou et les chondropathies. Les douleurs peuvent s'améliorer, les chondropathies resteront.
Facteurs favorisant l'apparition de douleurs sur chondropathies
Les changements de rythme dans l'activité ou dans l'entrainement, les changements d'intensité, la modification du matériel utilisé (changement de chaussures), un choc sur le genou, ou une entorse peuvent déclencher une crise douloureuse.
Notez qu'après la crise, la chondropathie reste, la douleur s'estompe.
Evolution des chondropathies avec le temps
L'évolution des chondropathies est très lente, très variable suivant les individus, la forme de leurs membres inférieurs (en X ou arquées), les sports pratiqués, leur poids, les accidents...
Elle peut apparaître très tôt dans la vie, sans pour autant être responsable de douleurs.
Peut-on prévenir l'aggravation des chondropathies ?
Maigrir, ou ne pas grossir, est important
La perte de quelques kilos en préférant une alimentation plus équilibrée, peut être très bénéfique. Se faire aider par un(e) diététicien(ne) parait être une excellente idée.
Eviter l'ablation inutile d'une partie du ménisque
Cette opération, souvent très utile, ne doit être réalisée que si s'il existe une languette mobile (IRM), et si tous les symptomes sont cohérents avec ce diagnostic. Une suture du fragment doit toujours être envisagée, surtout chez les jeunes.
Mais l'ablation (inutile !) d'une fissure méniscale dégénérative semble aggraver l'usure du cartilage.
L'instabilité sur rupture du ligament croisé antérieur non opéré
Indispensable chez les jeunes, l'opération du ligament reste nécessaire quel que soit l'âge, si le genou devient instable par la suite.
Existe-t'il un traitement spécifique de ces chondropathies ?
Autrefois, aux débuts de l'arthroscopie, on avait cru que nettoyer ces "cheveux", régulariser la surface cartilagineuse, permettrait d'améliorer les douleurs du patient ou les sensations de blocage. Il n'en est rien la plupart du temps.
La responsabilité des chondropathies
Il faut d'abord confirmer la responsabilité des chondropathies dans les douleurs ressenties par le patient, ce qui est loin d'être souvent le cas. L'IRM est le plus souvent réalisée pour rechercher, ou éliminer, une languette mobile d'un ménisque.
Le traitement est d'abord médical
Il s'agit de traiter les douleurs ressenties et d'apprendre à gérer son genou.
La perte de poids est un outil important de ce traitement médical.
Cas particulier des blocages
Devant un blocage douloureux du genou en flexion, il peut arriver qu'on "suspecte" la responsabilité mécanique d'un fragment cartilagineux.
Ici encore, le traitement médical des douleurs, et d'éventuelles infiltrations, permettent le plus souvent de traiter le blocage, et de laisser passer l'orage : ce qui montre bien, a postériori, l'absence de responsabilité mécanique de la lésion.
La résection d'un clapet cartilagineux, ou sa fixation reste exceptionnelle. Le patient doit être prévenu de la faible probabilité d'amélioration après la chirurgie.
Les lésions profondes localisées
Pour une information plus complète, je cite ces interventions mais leur indication reste très rare.
Ce sont les stade 4 localisés comme sur l'image. Ici, il est "possible d'envisager" de faire une greffe de cartilage. Il s'agit de prélever une "carotte" d'os et de cartilage dans une zone saine du genou du patient; un trou est foré au niveau de la zone usée et la carotte prélevée est insérée en force dans le trou. Ce geste relativement simple, n'a pas donné les résultats escomptés pour de multiples raisons. Mais il reste utile pour des genoux très abimés, chez un jeune dans les suites d'un accident par exemple.
Usure localisée au compartiment interne du genou
Si le genou est invalidant et les chondropathies sont stade IV, localisées sur la partie interne d'un genou en varus (jambe arquée), il est possible de réaliser, une ostéotomie de valgisation pour ré-axer le membre, et ainsi transférer le poids sur le compartiment sain (ici externe).
L'évolution vers l'arthrose
Beaucoup plus tard dans la vie, la chondropathie peut évoluer vers l'arthrose.
L'arthrose est diagnostiquée sur la radio debout, "en charge", et en "schuss", lorsqu'elle montre un pincement de l'interligne.
Cette radio du genou droit, de face, en charge (le patient est debout), montre un interligne articulaire d'épaisseur normale.
On peut noter que l'épaisseur est moindre à droite sur la radio : ce patient appuie plus sur ce côté, interne, lorsqu'il est debout. C'est la conséquence de la forme de ses jambes (ici, arquées, en varus).
