Parfois, elle peut être liée à un traumatisme, et elle peut alors être complète et détacher une "languette". Cette languette peut être responsable des douleurs ressenties.
J'espère que cette page vous aidera à y voir plus clair.
C'est le rôle du chirurgien de faire, ou non, le lien entre vos douleurs et la lésion méniscale.
Il ne faut pas opérer les lésions méniscales dégénératives. Seules les lésions traumatiques, mécaniques, du ménisque (les languettes) peuvent être opérées. Voyons cela plus en détail.
Qu'est-ce qu'un ménisque ?
Les ménisques sont une structure amortissante, fibrocartilagineuse, élastique : posés sur le cartilage du tibia, en forme de croissant, ils recoivent le poids des condyles du fémur. (schémas d'anatomie ci-dessous).
Si les douleurs du genou sont fréquentes, elles ne sont que rarement liées à la lésion d'un ménisque.
La plupart des fissures méniscales sont indolores
Ce sont les fissures dites "dégénératives". Elles sont banales, liées au temps qui passe, découvertes par une IRM. Une fissure du ménisque se traduit sur l'IRM, par un trait blanc, oblique, plus ou moins net, dans l'épaisseur du triangle méniscal.
Pourquoi certaines fissures méniscales peuvent-elles faire mal ?
Ce sont les fissures provoquées par un traumatisme du ménisque (torsion, compression, etc.). La fissure peut alors être complète et détacher un fragment méniscal (souvent appelé une languette dans le compte-rendu). C'est une lésion méniscale mobile, dite "instable". Les douleurs sont provoquées par la position anormale du fragment, qui peut entrer en conflit avec le cartilage, lors du glissement du fémur sur le tibia.
Comment le ménisque se fissure-t-il ?
- Par l'usure banale du ménisque avec l'âge, nous l'avons vu,
- Suite à un traumatisme :
- Lors d'un incident bénin (en s'accroupissant, en se relevant d'une position accroupie, en posant un parquet par exemple..),
- Lors d'une entorse du genou où la lésion méniscale peut compliquer la rupture d'un ligament (ligament croisé antérieur surtout).
Schémas simples d'anatomie du ménisque
Les ménisques sont au nombre de deux, l'interne et l'externe. Ils peuvent être comparés à des "joints" posés sur le tibia. Ils augmentent la congruence entre le fémur (arrondi) et le tibia (plat).


Les ménisques du genou vus du dessus. Le ménisque est triangulaire à la coupe et en forme de croissant. La flèche rouge représente une coupe de profil (saggitale) : sur une IRM de profil, le ménisque est visible sous la forme de deux triangles.

Le ménique n'est pas vascularisé à l'exception de sa partie toute périphérique . Une lésion de la pointe ou de la partie moyenne n'a donc aucune chance de cicatriser si une suture est réalisée.

Et ce rôle est d'autant plus important qu'il se trouve du côté du genou, en charge lors de la marche et de la course : le ménisque interne pour les jambes arquées (en varus comme sur la radio) ou le ménisque externe pour les jambes en X (en valgus).

Une variation possible est celle du ménisque discoide; au lieu d'être en forme de croissant, c'est plutôt une assiette creuse. Le ménisque discoide peut etre découvert sur une IRM dès l'enfance, car il peut occasionner des craquements, sans gravité, lors des mouvements du genou. Il peut se fissurer ou se casser comme le ménisque habituel.
Les deux types de fissure méniscale
L'usure du temps
Le ménisque s'use avec le temps : il prend un aspect dégénératif sur l'irm sous la forme d'une fissure oblique blanche (ici surlignée en jaune) dans l'épaisseur du triangle méniscal.
Ces lésions dégénératives sont à priori indolores et anciennes. L'aspect de la surface méniscale est normale en arthroscopie et l'ablation d'une telle "lésion" est sans effet sur les douleurs du patient (par contre très dommageable pour le cartilage...)
La découverte de cette lésion est habituelle par une IRM chez un(e) patient(e) autour de 50 ans, mais cette lésion bénigne peut être observée plus tôt dans la vie (25-30 ans).


La lésion traumatique, potentiellement instable, chirurgicale
Le ménisque peut aussi se rompre, se fissurer, lors d'un mouvement de torsion ou de flexion forcée du genou. Cette lésion est mécanique. La fissure peut libérer partiellement un fragment méniscal, qui devient mobile et provoque une douleur à l'appui. C'est une lésion instable du ménisque. Lorsque le patient n'appuie pas dessus, il n'y a que peu de douleur (sauf la nuit de temps en temps). C'est donc une douleur à l'appui et soulagée par le repos.


Images de ces différentes lésions
Le ménisque normal
Dessin d'un ménisque normal, vu du dessus

Menisque normal, sous arthroscopie.

Fissure traumatique avec languette
Ici, la fissure est transfixiante, complète et libère une languette; vue du dessus


Anse de seau méniscale
Ici, la fissure est périphérique, transfixiante, instable, libérant un fragment, mais qui reste retenu à chaque extrémité (comme une anse de seau). Ce fragment est instable (comme la languette) : il peut bouger.

Blocage méniscal
Le fragment méniscal peut basculer comme "l'anse d'un seau" et bloquer le genou en empêchant l'extension complète.


Les symptomes de la crise méniscale aigue
La douleur
Lorsque ce fragment bouge, il peut venir se coincer entre le fémur et le tibia provoquant une douleur vive, une impression de dérangement interne, de corps étranger ou encore de genou qui se bloque ou se dérobe.
Ceci s'accompagne d'une douleur souvent vive à l'appui, avec deux caractéristiques en faveur du caractère mécanique de la douleur.
- Vous pouvez localiser l'endroit douloureux de manière très précise avec un doigt.
- Le fait de vous assoir calme nettement la douleur : c'est une douleur à l'appui calmée par le repos.
Gonflement
Le genou gonfle un peu, mais pas toujours.
Blocage possible
Si la lésion forme une anse de seau (l'anse reste attachée au reste du ménisque à chacune de ses extrémités), elle peut basculer en avant et bloquer le genou en empêchant de le tendre (extension complète impossible). Ce blocage mécanique, handicapant, nécessite une intervention par arthroscopie pour enlever l'obstacle et retrouver l'extension.
Aucune "urgence", mais il est logique d'envisager rapidement l'opération pour débloquer le genou et soulager le ou la patiente.
Diagnostic évoqué sur la clinique, confirmé par l'IRM
La clinique
Le diagnostic de lésion méniscale mécanique, traumatique, est évoqué sur les symptomes ressentis par le patient :
- Douleur localisée, sur l'interligne,
- Améliorée par le repos,
- Avec un début brutal, récent
L'examen clinique retrouve la douleur à la palpation : localisée sur l'interligne articulaire, à l'endroit de la lésion, associée ou non à un petit épanchement.
L'IRM est indispensable pour préciser le diagnostic
Seule l'IRM permet de confirmer la lésion, en visualisant la fissure, et son éventuel caractère instable (qui peut bouger).
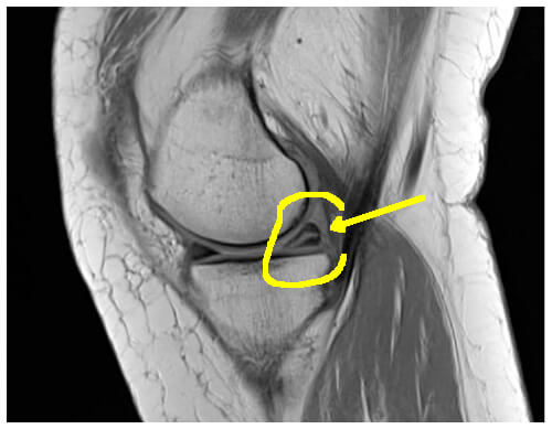
IRM de la Languette méniscale
Les signes sur l'IRM en faveur d'une lésion mécanique, sont la fissure verticale complète et l'amputation (1) de la pointe du triangle méniscal. Le bout du triangle est un morceau du ménisque, qui a migré : la languette.

La languette (1) est retrouvée ici sous le ménisque; elle repousse le ligament interne (3). L'os est un peu blanc (petit oedème osseux) (2) dans l'angle en regard de la languette, témoignant de l'inflammation locale.

IRM de la fissure dégénérative
La fissure est intra-meniscale (1) ou s'ouvre en périphérie (type 3); c'est une fissure dite dégénérative, sans languette; vue du dessus


Sous arthroscopie, image d'une fissure dégénérative du ménisque qui est "feuilleté". Notez que parallèlement, le cartilage est parfait, comme neuf.
Kyste méniscal
IRM
C'est une lésion mixte dégénérative et mécanique
Parfois, la fissure dégénérative (2) traverse le ménisque. Le liquide articulaire peut alors s'échapper par la fissure et s'accumuler à l'extérieur du ménisque, formant un "kyste" (1). Ce kyste méniscal douloureux par son volume, est en général au niveau du ménisque externe et le plus souvent chez le coureur.

Symptomes du kyste méniscal
La douleur est fonction de la pression dans le kyste. Lors d'un effort comme la course à pied, la pression augmente dans le kyste car le liquide une fois sorti ne peut revenir dans le genou (effet clapet du ménisque).
La douleur impose souvent l'arrêt de la course au bout d'un certain temps (20 minutes par exemple). Quelques minutes de repos peuvent suffire pour faire diminuer la pression et permettre la reprise de la course avec la récidive de la douleur, une vingtaine de minutes après.

Consultation du chirurgien pour une lésion méniscale
Son rôle est de faire le lien entre vos symptomes (douleurs, leur type, leur localisation, etc.) et les lésions (méniscale ou autre) observées sur l'IRM.
C'est pourquoi il va vous poser beaucoup de questions pour préciser les caractéristiques de vos douleurs. Il va ensuite vous examiner pour rechercher des points douloureux et vérifier les ligaments (genou stable).
La lecture attentive de votre IRM permet de préciser le type de lésion.
L'objectif de la consultation est de repérer une lésion méniscale mécanique, qui pourrait bénéficier, si vous le désirez, d'un traitement chirurgical sous arthroscopie.
Les lésions "chirurgicales" sont celles qui sont "mécaniques".
Arguments en faveur d'une lésion méniscale mécanique, "instable"
La chirurgie se discute si la lésion est mobile, instable : languette ou anse de seau.
Devant une douleur du genou , les arguments en faveur de la responsabilité de la lésion méniscale découverte sur l'IRM sont les suivants :
- Un début brutal, lors d'un incident précis (souvent date et heure !)
- Un blocage mécanique du genou bien sûr,
- Une douleur récente (et non depuis des années) ou une aggravation récente
- Le caractère "mécanique" de la douleur, à l'effort, à l'appui, calmée par le repos
- Votre localisation précise de la douleur, facile à décrire, que le chirurgien retrouve en vous examinant
- Cette localisation doit être cohérente avec la localisation de la lésion sur l'irm
- Association +/- à un gonflement du genou,
- L'aspect de la lésion meniscale sur l'IRM en faveur d'une lésion mobile, instable,
- Et, bien sûr, la présence d'une languette sur l'IRM
Cette notion de responsabilité de la lésion méniscale dans les douleurs ressenties par le patient est essentielle : l'ablation de la lésion méniscale n'améliorera pas les douleurs du patient si la lésion méniscale n'est pas responsable de ces douleurs.
D'une part, il est facile d'imaginer que la lésion découverte sur l'irm existe depuis longtemps : sa découverte n'implique pas sa responsabilité dans les symptomes actuels.
D'autre part, deux douleurs peuvent coexister, l'une liée à la lésion méniscale, l'autre banale, antérieure, rotulienne par exemple. La douleur rotulienne (liée à une chondropathie) persistera après l'intervention. Il vaut mieux le savoir avant l'intervention pour éviter une déception.
Le traitement de la lésion méniscale
Traitement médical
C'est le traitement des douleurs
Le traitement médical, donc le traitement des symptomes, des douleurs, peut, bien sûr, toujours être tenté dans un premier temps par le patient, même si c'est une lésion mécanique.
Il comprend le glaçage du genou et la prise de médicaments pour traiter les symptomes (douleurs, gonflement).
Tout en faisant de petits exercices
Ce sont les exercices d'auto-rééducation habituels (surtout si boiterie).
Infiltrations ?
Des infiltrations de corticoides peuvent aussi être réalisées par un médecin du sport ou un rhumatologue, soit dans le genou, la poche articulaire, soit autour de la partie abimée du ménisque (périméniscale) pour diminuer l'inflammation et donc la douleur.
Attention au PRP, dont certains vantent les effets sur la lésion méniscale, ce qui n'a jamais été prouvé...
Existe-t'il des traitements naturels des lésions méniscales ?
Non, il n'a jamais été prouvé qu'une substance appliquée localement ou absorbée, n'ait un effet quelconque sur la lésion méniscale, dégénérative ou traumatique.
Notez qu'il existe des traitements naturels de la douleur qui peuvent bien sûr être essayés, mais ils seront sans effet sur une lésion du ménisque.
Traitement chirurgical (par arthroscopie) d'une lésion mécanique
Il est important de rappeler ici que l'ablation d'un ménisque, même partielle, n'est pas sans conséquence, pour l'avenir du cartilage du genou : risque d'usure plus rapide du cartilage. Le ménisque joue un rôle important dans la protection du cartilage. Il ne faut donc enlever un fragment du ménisque que si le diagnostic de languette mobile est très probable sur l'IRM.
Ablation simple de la languette
Cela consiste à enlever la partie abimée du ménisque par arthroscopie : "méniscectomie" partielle, limitée à la lésion : seule la languette est enlevée.
La suture meniscale
Elle doit toujours être tentée chez les jeunes patients pour éviter la dégradation du cartilage, provoquée par l'ablation du ménisque.
Il s'agit sous arthroscopie, de fixer l'une contre l'autre les berges de la fissure: c'est la fixation primaire.
La fixation "secondaire" est la cicatrisation de la lésion par les mécanismes naturels; la vascularisation joue un grand rôle.
Cas particulier du kyste méniscal externe
Dans ce cas, il est habituel de d'abord tenter une infiltration du kyste et périméniscale. En cas d'insuffisance, il est logique de pratiquer une arthroscopie.
La suture de la lésion peut se discuter mais la lésion étant souvent multiple, elle peut être incomplète.
Le plus souvent, le chirurgien va élargir la fissure horizontale menant au kyste pour permettre une meilleure circulation du liquide (synovie) dans le kyste. Ce geste peut ne pas suffire et être alors suivi d'infiltrations périméniscales.
J'espère que cette page vous a permis de progresser dans la compréhension de la lésion méniscale, qui peut donc être dégénérative et banale, ou mécanique, avec un fragment mobile, la languette, qui si elle est gènante, peut être enlevée par arthroscopie.
Il ne vous reste qu'à consulter un chirurgien pour faire le point sur vos douleurs et votre genou.