Douleurs, instabilité de la rotule
Page revue le 25 octobre 2024
- Anatomie
- Rotule douloureuse
- Instabilité rotulienne
Cette page
Autres pages
La rotule est ce petit os que l'on peut palper devant le genou. Bien connue des sportifs, elle est souvent cause de douleurs après un entraînement trop intense ou un changement de rythme.
Beaucoup plus rarement, elle peut être instable, le plus souvent chez la femme jeune, en cas de dysplasie fémoro-patellaire. La rotule peut aussi se fracturer lors d'un choc direct.
Instabilité rotulienne : Possible Stabilisation par la chirurgie.
Dans cette page, nous verrons successivement, un peu d'anatomie simplifiée, la rotule douloureuse, la rotule instable, la dysplasie fémoro-patellaire, la luxation de rotule, son diagnostic, faut-il opérer ?, et quelles anomalies corriger ?.
Anatomie simplifiée de la rotule
Vous pouvez voir ou revoir la vidéo de Anatomie 3D" université Lyon 1 sur
La rotule (patella en latin) est le petit os que l'on sent devant le genou. Il est attaché au fémur par un muscle puissant, le quadriceps, et par un tendon, le tendon rotulien, en haut du tibia.
La rotule présente deux faces, l'une osseuse vers l'avant et l'autre cartilagineuse en arrière, qui glisse sur le cartilage de la trochlée, zone du fémur recouverte aussi de cartilage.
Elle forme ainsi avec le fémur, l'articulation fémoro-patellaire (ou fémoro-rotulienne).
Le quadriceps est un muscle puissant qui nous permet de bouger. Il s'insert en haut sur le bassin et sur le fémur pour se fixer sur la rotule. La rotule est reliée au tibia par le tendon rotulien. Un tissu fibreux prolonge le muscle quadriceps sur la rotule et se continue avec le tendon rotulien.
La contraction du quadriceps permet d'allonger la jambe, en prenant appui sur la rotule. La présence de la rotule protège le tendon et lui permet de faire levier.

IRM du genou de profil en extension
La photo ci-dessous montre le cartilage de la rotule en haut, celui de la trochlée en bas. C'est une vue sous arthroscopie; le genou est gonflé avec du sérum physiologique, éloignant les deux cartilages. La rotule glisse sur le fémur (leurs cartilages). A côté, c'est la coupe en IRM de la même vue où les deux cartilages sont au contact.


La rotule douloureuse
La douleur antérieure du genou, rotulienne, est très fréquente.
Elle peut être post-traumatique après un choc sur la rotule, mais le plus souvent, elle est déclenchée par un changement de rythme (on peut parler de la goutte d'eau qui fait déborder le vase).
Son traitement est médical, non chirurgical. Quels sont les outils à votre disposition pour gérer ces douleurs si fréquentes.
Chez la personne agée, la douleur peut être liée à l'arthrose rotulienne (fémoro-patellaire) mais elle garde des caractéristiques communes.
La rotule instable
Un peu de mécanique
Normalement
La rotule glisse sur le fémur lors des mouvements de flexion extension du genou. La zone d'appui sur le fémur s'appelle la trochlée. La trochlée est en forme de V aplati et la rotule présente une crète médiane. On dit que la rotule "s'engage" dans la trochlée lors de la flexion du genou.
En extension, la rotule est au dessus de la trochlée; lorsque la flexion commence, la crète s'engage dans le V.
L'instabilité
La rotule ne s'engage pas dans la "vallée" de la trochlée et s'échappe vers l'extérieur, se "luxant".
Ceci n'arrive que sur des genoux présentant des anomalies marquées de construction (dysplasies), appelées "dysplasies fémoro-patellaires".
La dysplasie fémoro-patellaire
La trochlée peut être plus ou moins plate, la crète rotulienne plus ou moins émoussée. La trochlée se creuse progressivement avec la croissance chez l'enfant par l'appui de la rotule lors des flexion-extension répétées. Le trajet de la rotule dépend du quadriceps et de la façon dont ses fibres s'attachent sur le haut et les bords de la rotule. La trajectoire dépend aussi de la position de l'attache du tendon rotulien sur le tibia (appelée Tubérosité Antérieure, "TA") qui peut être plus ou moins centrée.
Le plus souvent bénigne
Ces anomalies sont fréquentes et la dysplasie est souvent notée dans le compte-rendu d'une radio, d'une IRM ou d'un scanner. Mais cela ne doit pas inquiéter, car c'est très banal et sans conséquence le plus souvent.
Mais parfois
Ces anomalies peuvent être plus nettes (malformations), et surtout se combiner, entrainant une éventuelle instabilité, voire une luxation de la rotule. Les anomalies sont souvent bilatérales tandis que l'instabilité peut ne toucher qu'un seul genou.
L'instabilité survient dans la vie d'autant plus tôt que les anomalies sont plus marquées. C'est un problème rencontré en général, à l'adolescence.
Un facteur héréditaire existe. L'instabilité rotulienne est beaucoup plus fréquente chez la femme.
Que sont ces dysplasies ?
En pratique, elles ne doivent être recherchées que devant un patient, souvent une adolescente, qui a présenté un premier épisode de luxation.
Rotule douloureuse et dysplasique ?
Nous l'avons vu, la rotule douloureuse ne doit pas subir d'opération. Que faire si un bilan rotulien complet a été réalisé, s'il trouve des anomalies, des dysplasies ?
L'expérience a montré que la rotule douloureuse non compliquée de luxation ne devait pas être opérée.
La luxation de rotule


Qu'est-ce qu'une luxation ?
La luxation est définie par une perte totale de contact des surfaces articulaires d'une articulation, se produisant lors d'un traumatisme.
Lors d'une prise d'appui sur le pied, avec le genou plié, la rotule peut se luxer. La luxation a toujours lieu vers l'extérieur du genou.
Le genou est douloureux, plié, et la rotule est sur le côté. Tendre la jambe n'est pas possible car trop douloureux. En général, la patiente est transférée aux urgences. Parfois, les pompiers vont réduire la luxation en allongeant la jambe, après avoir donné un produit relaxant.
Gravité, réduction, et risques d'une luxation de la rotule ?
Est-ce grave ?
C'est douloureux sur le moment et jusqu'à la réduction. Mais il n'y a pas de risque vasculaire ou nerveux comme dans une luxation du genou (très rare) entre fémur et tibia, dont la réduction est une urgence absolue (transfert en hélicoptère en général).
Comment réduire la luxation ?
Rien de plus simple : il suffit d'allonger la jambe et la rotule revient à sa place. Mais la patiente ne peut le faire elle-même, la première fois. Mais si quelqu'un d'autre peut le faire immédiatement, c'est gagné. Il suffit de soulever le pied.
Si la réduction n'est pas faite immédiatement, elle nécessitera un petit "shoot" de la part de l'équipe soignante pour détendre la patiente.
Lorsque c'est déjà une récidive, la jeune fille sait souvent comment la réduire, en allongeant immédiatement sa jambe.
Conséquences de la luxation
Lésions cartilagineuses
Chaque luxation entraine un choc du cartilage de la rotule sur le coté du fémur et donc des dégats cartilagineux, plus ou moins nets.
Risque de récidive
La première luxation entraîne la rupture d'un ligament de la rotule, l'aileron rotulien interne. Cette anomalie supplémentaire risque de provoquer de nouveaux épisodes de luxation, qui deviendront de plus en plus fréquents.
Le risque de récidive reste faible après une première luxation, surtout si les dysplasies restent minimes. C'est très souvent le cas lorsque la première luxation survient après 30 ans.
Par contre, une luxation entre 8-16 ans risque de devenir récidivante.
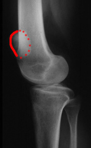
Comment fait-on le diagnostic d'une luxation de rotule ?
Facile devant un genou plié, douloureux, avec la rotule sur le côté, il peut être difficile à affirmer a posteriori, surtout si la luxation a été réduite sur place ou spontanément.


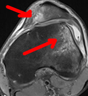
Intéret de l'IRM
Elle va montrer la trace indirecte de la luxation avec un oedeme osseux (l'os est gris blanc- sur le côté du fémur, où la rotule est venue taper lors de la luxation. Cette image persiste environ 6-8 semaines après l'épisode. Il est donc important de faire cette IRM.
La radio au moment de la luxation
Il est un peu "méchant" de faire attendre l'adolescente, avec le genou douloureux, bloqué en flexion, le temps de faire une radio au lieu de réduire rapidement la luxation. Ceci dit la radio montrera très bien la luxation...
Faut-il opérer ?
Jamais de chirurgie pour les rotules douloureuses.
La rotule douloureuse doit bénéficier d'un traitement "global", associant rééducation, médicaments, modification de l'entrainement, infiltrations, etc.
Après une première luxation
Une première luxation rotulienne peut être traitée médicalement. En effet si une bonne rééducation est entreprise et la musculature entretenue, d'autres luxations peuvent être évitées et l'opération ne sera pas nécessaire.
En général, le traitement ne sera pas chirurgical d'emblée; il sera discuté en fonction du genou et de ses dysplasies, de l'activité sportive de la patiente et de sa demande.
Si la luxation récidive
La chirurgie devient logique. Il faut évaluer les facteurs entraînant l'instabilité sur CE genou et regarder ce qui peut être corrigé.
Le Bilan de la dysplasie
Examen clinique, radios, IRM et scanner
Le bilan doit être complet pour repérer les facteurs de risque de ce genou.
La position de la tubérosité tibiale (TTA)
Le tendon rotulien se fixe sur la tubérosité tibiale (TTA). Cette tubérosité peut être trop externe et entraîner une baionnette au niveau de l'axe quadriceps/rotule/tubérosité/jambe. La contraction du quadriceps tire alors la rotule vers l'extérieur, surtout si le pied est en rotation vers l'extérieur.

La rotation externe de la jambe
La possibilité de tourner plus ou moins le pied vers l'extérieur lorsque le genou est plié, s'appelle la rotation externe. Cette anomalie s'ajoute souvent à une TTA trop externe.
Les ailerons rotuliens
La rotule est maintenue par des "ligaments" appelés ailerons rotuliens.
L'aileron interne retient la rotule
Il a un rôle très important dans la stabilisation de la rotule; il peut être insuffisant, distendu, trop lâche, avant même le premier épisode. La luxation entraîne sûrement sa rupture et donc aggrave nettement le risque de luxation récidivante.

L'aileron externe
S'il peut être trop tendu avant, il peut se rétracter à la longue et donc aggraver aussi la tendance à l'instabilité rotulienne, voire même fixer la rotule en position sub luxée ou luxée, dans les formes évoluées, non opérées.
La bascule de la rotule vers l'extérieur.
Elle est visible sur des radios ou un scanner. Elle est la résultante de la faiblesse ou de la rupture de l'aileron interne et de la possible rétraction de l'aileron externe.

La rotation de la rotule
Lorsque l'aileron interne est distendu ou rompu, la radio de profil du genou en extension, quadriceps contracté, montre la rotule presque de face, preuve de sa rotation.

Le genu valgum
Le genu valgum augmente relativement la baionnette de même que le récurvatum du genou (hyperextension).
Quelles anomalies corriger ?
Il faut que la correction soit efficace sur l'instabilité, qu'elle ne soit pas trop compliquée à réaliser, et que les suites opératoires soient simples.
La reconstruction de l'aileron interne
Efficace ++
C'est l'intervention de base, la plus souvent utilisée pour stabiliser la rotule. Sa meilleure indication : si rotation externe importante de la rotule en extension, bien visible sur une radio debout, de profil avec le quadriceps contracté (photo ci-dessus).

"Facile à réaliser"
Il s'agit de refaire l'aileron interne avec une greffe d'un tendon ischio-jambier de la patiente. Une cicatrice de 2cm sur la face interne du genou pour fixer la greffe sur le fémur et une cicatrice devant la rotule de 4-5 cm pour fixer la greffe sur la rotule et éventuellement sectionner l'aileron externe au ras de la rotule.
Une variante que j'utilise consiste à fixer la greffe sur les tissus fibreux en dedans (amarrage souple) au lieu de la fixer sur l'os (rigide).(schéma).Cette technique peut être utilisée chez les jeunes n'ayant pas terminé leur croissance.
Ostéotomie de la tubérosité tibiale antérieure (TTTA)
Une intervention simple
Il s'agit de couper une baguette osseuse (ostéotomie) sur laquelle s'attache le tendon rotulien (TTA) et de la translater (TTTA) vers l'intérieur du genou de quelques mm. Fixation par une ou deux vis.

Basée sur la mesure de la TAGT au scanner
La baionnette peut être apprèciée en repèrant sur un scanner le centre de la gorge de la trochlée (GT) et sur une autre coupe le centre de la tubérosité tibiale (TA). La superposition des coupes de scanner permet de mesurer la TAGT qui est normalement autour de 12 mm. Une valeur supérieure à 18 - 20 mm rend ce geste logique.
Plastie de l'aileron interne +/- TTTA
Ce sont les principaux gestes réalisés, ensemble ou séparément suivant le genou.
D'autres gestes sont possibles pour certains genoux comme par exemple le creusement de la trochlée si elle est trop plate; parfois il existe une sorte de bosse à l'entrée de la trochlée qui empêche l'engagement correct de la rotule...
Suites simples
Grâce à l'engagement de la patiente dans son auto-rééducation, les suites sont souvent simples. La flexion est parfois difficile à récupérer.
La rééducation doit être douce et patiente.
Après l'auto rééducation postopératoire
qui reste fondamentale pour la suite, j'insiste +++.
La rééducation avec le kinésithérapeute
Très importante pour aider notre patiente à retrouver confiance dans son genou, sa durée sera adaptée au genou et à la demande de la patiente.
Complications possibles
Celles habituelles de la chirurgie, donc rares, auxquelles se rajoutent la possibilité d'une récidive de la luxation ou de l'apparition, ou de la persistance, ou de l'aggravation, de douleurs antérieures rotuliennes. Les chondropathies rotuliennes y participent mais il ne faut pas prendre le risque de les augmenter par une rééducation incluant des gestes douloureux.
Résultats
Les résultats dépendent de multiples facteurs dans cette pathologie. En général, la rotule est stabilisée et la patiente ne garde que quelques douleurs.
Par contre, à mon avis, il faut éviter d'opérer l'autre genou s'il est stable ou simplement douloureux, même s'il présente les mêmes anomalies structurelles. Il est difficile d'améliorer un genou qui va bien...
Autres pages